Before - Dr Kit Spears After - Dr Kit Spears
Before After

Case 7 - Teeth Whitening, ICON & Bonding

Smile makeover with professional tooth whitening, resin infiltration with Icon, composite resin restorations and…

Learn More
Before - Dr Kit Spears After - Dr Kit Spears
Before After

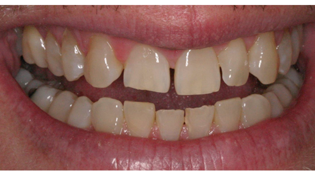
Case 8 - Composite Bonding

Composite bonding to restore trauma-involved teeth.

Learn More

Get in touch

logo

Reviews

I cannot speak highly enough about Kit. He is an absolute credit to the practice. His professional approach and general caring whilst you ar....

star1 star2 star3 star4 star5

Kit is a real expert in dental implants and I would not hesitate to recommend him.....

star1 star2 star3 star4 star5

He wasn’t pushy and he took the time to listen & understand what I was hoping to achieve rather than making assumptions. He inspired confi....

star1 star2 star3 star4 star5

I would personally like to thank Kit for making my experience a far easier one and providing a service to his patients that he should be ver....

star1 star2 star3 star4 star5

I am extremely pleased with the work that he did and I would give him my highest recommendation for oral surgery.....

star1 star2 star3 star4 star5

I was treated with sympathy and concern by Kit as he progressed through the stages. I am extremely happy with all the work done and the fina....

star1 star2 star3 star4 star5

Smiling without reservations and looking in the mirror without wincing at the crooked teeth smiling back, is marvellous. I am very very grat....

star1 star2 star3 star4 star5

I am so grateful to Kit for his excellent surgery, care and attention.....

star1 star2 star3 star4 star5

Last year I made the decision to have implant treatment at Elmsleigh House to replace a missing tooth which was visible when I smiled and im....

Lynda M

star1 star2 star3 star4 star5
All Reviews